Không nên xem nhẹ tình trạng đau ngực, khó thở sau tập luyện thể thao
Bệnh nhân được can thiệp kịp thời.
Tràn khí màng phổi do tập tạ quá mức
Nam bệnh nhân N.T.A (25 tuổi, sống tại Hà Nội) nhập viện trong tình trạng đau tức ngực phải, khó thở sau khi tập gym, được chẩn đoán tràn khí màng phổi - bệnh lý nguy hiểm cần xử trí kịp thời.
Theo lời kể, bệnh nhân xuất hiện triệu chứng đau ngực phải, cảm giác nặng ngực rõ rệt sau khi thực hiện bài tập đẩy tạ. Cơn đau tăng lên khi ho, hít sâu, hoặc vận động mạnh khiến anh không thể tiếp tục tập luyện. Lo lắng, anh A. đến Phòng khám đa khoa Medlatec Cầu Giấy để kiểm tra.
Tại đây, bác sĩ thăm khám và chỉ định chụp X-quang ngực, hình ảnh ghi nhận tràn khí khoang màng phổi phải. Ngay lập tức, bệnh nhân được kịp thời chuyển đến điều trị nội trú tại Bệnh viện đa khoa Medlatec để theo dõi và xử trí chuyên sâu.
Qua khai thác tiền sử, bệnh nhân cho biết đã từng phẫu thuật vá thông liên thất tim lúc 5 tuổi, tuy nhiên hiện tại sức khỏe ổn định và không cần dùng thuốc điều trị.
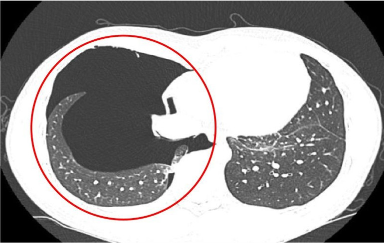
Tại bệnh viện, các bác sĩ tiếp tục chỉ định anh A. chụp cắt lớp vi tính lồng ngực nhằm đánh giá chính xác mức độ tổn thương. Kết quả xác nhận bệnh nhân bị tràn khí khoang màng phổi phải mức độ vừa đến nhiều, kèm theo tổn thương nhu mô phổi (đám đông đặc ở thùy trên và phân thùy S5 phổi phải). Tình trạng này được nhận định do chấn thương phổi trong lúc gắng sức.
Thạc sĩ, bác sĩ Phạm Duy Hưng, Phó Khoa Nội, Bệnh viện đa khoa Medlatec cho biết, hoạt động thể lực cường độ cao như tập gym, đẩy tạ có thể gây tăng áp lực trong lồng ngực, khiến bóng khí dưới màng phổi bị vỡ. Đây là nguyên nhân gây ra tình trạng tràn khí màng phổi, dù bệnh nhân không có bệnh lý nền liên quan đến phổi.
Sau khi xác định chẩn đoán, bệnh nhân được điều trị bằng phương pháp thở oxy, đặt catheter dẫn lưu khoang màng phổi và sử dụng thuốc giảm đau.
Trải qua 2 ngày điều trị, tình trạng bệnh nhân chuyển biến tích cực, hết đau ngực, không còn khó thở, khí trong khoang màng phổi đã được dẫn lưu hết. Bác sĩ tiếp tục theo dõi sát sao bằng cách kẹp ống dẫn lưu, chụp X-quang phổi để đánh giá tiến triển hàng ngày.

Hình ảnh chụp cắt lớp vi tính cho thấy tràn khí khoang màng phổi phải mức độ vừa đến nhiều.
Không chủ quan với dấu hiệu đau ngực, khó thở
Theo Thạc sĩ, bác sĩ Phạm Duy Hưng, tràn khí màng phổi tự phát là hiện tượng khí thoát ra khỏi nhu mô phổi và tích tụ trong khoang màng phổi. Sự hiện diện bất thường của khí tại đây khiến phổi không thể nở rộng như bình thường, gây đau tức ngực, khó thở, nhịp tim tăng nhanh. Nếu không được xử trí kịp thời, tình trạng tràn khí màng phổi có thể dẫn đến chèn ép tim và các mạch máu lớn, gây suy hô hấp, thậm chí tử vong.
Khác với tràn khí màng phổi thứ phát thường gặp ở người có bệnh lý nền về phổi (COPD, lao phổi...), tràn khí màng phổi tự phát xảy ra ở những người trẻ, khỏe mạnh, không có tiền sử bệnh phổi trước đó. Một số trường hợp không có dấu hiệu điển hình, khiến người bệnh chủ quan và dễ bỏ qua triệu chứng ban đầu.
Nguyên nhân chủ yếu của tràn khí màng phổi tự phát thường do vỡ các bóng khí nhỏ, hoặc kén khí dưới màng phổi. Các bóng khí này có thể hình thành tự nhiên và tồn tại âm thầm trong phổi mà không gây ra bất kỳ biểu hiện nào cho đến khi bị vỡ do một tác động nhất định.
"Các hoạt động gắng sức, hoặc thay đổi áp lực đột ngột trong lồng ngực được xem là yếu tố nguy cơ điển hình. Tập luyện thể thao cường độ cao, nâng tạ nặng, leo núi, lặn sâu, chơi nhạc cụ hơi, thậm chí là ho mạnh, hắt hơi liên tục - đều có thể kích hoạt bóng khí vỡ và dẫn đến tràn khí màng phổi.
Ngoài ra, thể trạng cao gầy ở nam giới cũng là yếu tố dễ gặp trong nhóm nguy cơ, do cơ địa này khiến áp lực đỉnh phổi thấp hơn và dễ gây vỡ các bóng khí", bác sĩ Hưng cho hay.
Bác sĩ đưa ra khuyến cáo, người bệnh cần nhận diện sớm triệu chứng như đau ngực đột ngột, khó thở khi gắng sức, sau đó nhanh chóng đến cơ sở y tế để được chẩn đoán, can thiệp kịp thời. Những người thường xuyên tập luyện thể thao, hoặc có hoạt động thể lực mạnh cũng cần lưu ý bảo vệ sức khỏe hô hấp, thăm khám định kỳ và lắng nghe cơ thể để hoạt động ở mức độ phù hợp.
Theo bác sĩ Hưng, chụp cắt lớp vi tính (CT scan) lồng ngực đóng vai trò quan trọng giúp chẩn đoán chính xác và đánh giá mức độ tổn thương trong các trường hợp tràn khí màng phổi.
So với phương pháp chụp X-quang ngực thông thường, với khả năng dựng hình cắt lớp theo nhiều mặt phẳng, CT scan có độ nhạy cao hơn, giúp phát hiện những lượng khí nhỏ không rõ trên phim X-quang, đồng thời cung cấp hình ảnh chi tiết về nhu mô phổi và khoang màng phổi. Từ đó, bác sĩ có thể xác định chính xác vị trí và mức độ tràn khí, phát hiện các nguyên nhân tiềm ẩn như bóng khí, kén khí dưới màng phổi.
Ngoài ra, kỹ thuật này còn giúp đánh giá các tổn thương phối hợp như dập phổi, tụ khí dưới da, tràn khí trung thất… hỗ trợ lựa chọn phương án điều trị phù hợp, từ theo dõi bảo tồn đến can thiệp dẫn lưu, hoặc phẫu thuật.
Theo: nhandan.vn
Tin cùng chuyên mục
- Anh triển khai vắc xin mới điều trị 15 loại ung thư 02.05.2025 | 20:53 PM
- Bảo đảm an toàn thực phẩm tại bếp ăn các cơ sở khám chữa bệnh 18.09.2024 | 16:23 PM
- Nỗi lo an toàn vệ sinh thực phẩm mùa hè 31.05.2024 | 17:07 PM
- Đông Hưng: Thi tìm hiểu kiến thức về phòng, chống tác hại của thuốc lá trong trường học năm 2023 28.10.2023 | 18:42 PM
- Chủ động rà soát, phát hiện, xử lý kịp thời các bệnh truyền nhiễm không để dịch chồng dịch 16.03.2023 | 19:31 PM
- Tình hình dịch Covid-19 tuần qua 05.03.2023 | 20:43 PM
- Tình hình dịch Covid-19 đến ngày 11/2 11.02.2023 | 22:46 PM
- Truyền thông nha học đường "Chăm sóc sức khỏe răng, miệng" cho học sinh 31.10.2022 | 16:03 PM
- Tình hình dịch Covid-19 đến ngày 21/7 21.07.2022 | 18:41 PM
- Tình hình dịch Covid-19 đến ngày 21/5 21.05.2022 | 21:46 PM
Xem tin theo ngày
-
Đặc sắc chương trình nghệ thuật kỷ niệm 110 năm ngày sinh Tổng Bí thư Nguyễn Văn Linh và chào mừng hợp nhất tỉnh Hưng Yên và tỉnh Thái Bình
- Chủ tịch Ủy ban Trung ương MTTQ Việt Nam Đỗ Văn Chiến thăm làm việc tại phường Phố Hiến
- Công bố nghị quyết, quyết định của Trung ương, địa phương về sáp nhập đơn vị hành chính cấp tỉnh, cấp xã và kết thúc hoạt động cấp huyện
- Báo Thái Bình - Một hành trình với những mốc son lịch sử
- Thư tòa soạn
- Công bố quyết định của Bộ trưởng Bộ Công an, Giám đốc Công an tỉnh về công tác tổ chức, cán bộ
- Khởi công dự án nhà máy đốt chất thải rắn phát điện công nghệ hiện đại tại xã Thụy Trình
- Khởi công dự án đầu tư xây dựng sân golf Cồn Vành và dự án đầu tư xây dựng khu bến cảng hàng lỏng Ba Lạt
- Việt Nam nâng tầm vị thế tại Hội nghị quốc tế về biển và đại dương
- Hội thảo khoa học: Đồng chí Nguyễn Văn Linh – Nhà lãnh đạo kiên định, sáng tạo của Đảng và cách mạng Việt Nam