Phát hiện dấu vết của nhiều loại nấm trong các khối u ung thư
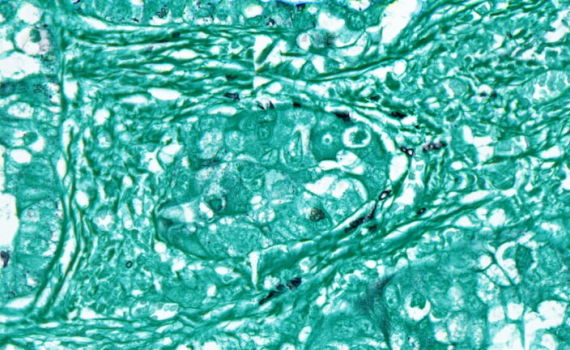
Tế bào nấm (màu đen) nằm trong mẫu mô khối u ung thư phổi (màu xanh). (Nguồn: statnews.com)
Các nhà khoa học vừa phát hiện dấu vết của nấm ẩn náu trong khối u của những người mắc nhiều loại ung thư khác nhau, bao gồm ung thư vú, ruột kết, tuyến tụy và phổi.
Hai nghiên cứu khoa học khác nhau, với kết quả cùng được công bố vào cuối tháng 9 trên tạp chí Cell, đã phát hiện dấu vết di truyền (DNA) của các tế bào nấm ẩn náu trong nhiều khối u của con người.
Trong nghiên cứu thứ nhất, các nhà khoa học đã tìm ra dấu vết di truyền của nấm ở 35 loại ung thư khác nhau, thông qua việc kiểm tra hơn 17.000 mẫu mô, máu và huyết tương của bệnh nhân ung thư. Không phải mọi mẫu mô ung thư đều cho kết quả xét nghiệm dương tính với nấm, nhưng nhìn chung nhóm nghiên cứu đã tìm thấy nấm trong tất cả 35 loại mẫu mô ung thư được đánh giá.
“Một số khối u hoàn toàn không có nấm, và một số có rất nhiều nấm," đồng tác giả nghiên cứu, ông Ravid Straussman, một nhà sinh học ung thư tại Viện Khoa học Weizmann ở Rehovot, Israel, nói với trang tin STATnews. Tuy nhiên, nhóm nghiên cứu cũng lưu ý rằng ở các khối u chứa nấm thì số lượng nấm cũng chỉ ở mức thấp.
Dựa trên số lượng DNA nấm mà nhóm phát hiện được, Straussman ước tính rằng một số khối u sẽ có tỷ lệ 1 tế bào nấm/1.000-10.000 tế bào ung thư. Nếu biết rằng một khối u nhỏ cũng chứa tới hàng tỷ tế bào ung thư, chúng ta sẽ thấy rằng nấm có khả năng "gây ảnh hưởng lớn đến sinh học ung thư," ông Ravid Straussman cho biết.
Straussman và nhóm của ông phát hiện ra rằng mỗi loại ung thư có xu hướng gắn với một số loại nấm riêng. Chúng bao gồm cả các loại nấm thường vô hại vẫn sinh sống trong cơ thể người, và một số có thể gây bệnh, như nhiễm trùng nấm men. Ở chiều ngược lại, các loại nấm này cũng thường tồn tại cùng một số loại vi khuẩn cụ thể trong khối ư.
Tuy nhiên các nhà khoa học vẫn chưa biết những vi khuẩn này tương tác với khối u như thế nào, và liệu sự tương tác của chúng có giúp thúc đẩy sự lây lan của bệnh ung thư hay không.
Ở nghiên cứu thứ hai, các nhà khoa học nằm dưới sự dẫn dắt của chuyên gia nghiên cứu miễn dịch Iliyan Iliev tại Trường y Weill Cornell (Mỹ) phát hiện ra điều tương tự như nghiên cứu đầu tiên, nhưng tập trung đặc biệt vào các khối u đường tiêu hóa, phổi và vú. Họ thấy rằng khối u ung thư đường tiêu hóa thường có nấm Candida, trong khi u ung thư phổi có nấm Blastomyces và u ung thư vú có nấm Malassezia.

Dấu vết di truyền của nấm được phát hiện trong nhiều loại khối u ung thư khác nhau. (Nguồn: Live Science)
Cả hai nhóm nghiên cứu đều tìm thấy những dấu vết cho thấy sự phát triển của một số loại nấm có thể liên quan đến việc bệnh ung thư trở nặng. Ví dụ, nhóm của Straussman phát hiện ra rằng bệnh nhân ung thư vú xuất hiện nấm Malassezia trong khối u sẽ có tỷ lệ sống sót kém hơn những bệnh nhân với khối u không nấm.
Nhóm thứ hai phát hiện ra rằng những bệnh nhân có lượng nấm Candida tương đối cao trong các khối u đường tiêu hóa cũng chứng kiến hoạt động gene gia tăng, liên quan đến hiện tượng viêm nhiễm lan tràn, làm ung thư phát triển và giảm tỷ lệ sống sót của bệnh nhân.
Bất chấp những phát hiện ban đầu này, cả hai nghiên cứu đều không khẳng định chắc chắn liệu nấm có thực sự là nguyên nhân gây ra những hậu quả tồi tệ nêu trên hay không, hay bệnh ung thư chỉ đơn giản là tạo ra một môi trường tốt giúp nấm có thể dễ dàng phát triển.
Các nghiên cứu cũng không giải quyết được câu hỏi liệu nấm có góp phần thúc đẩy sự phát triển của ung thư và đẩy các tế bào khỏe mạnh trở thành ung thư hay không.
Straussman nói với STAT rằng những nghiên cứu ban đầu này chỉ đóng vai trò là bàn đạp cho các nghiên cứu trong tương lai về các cộng đồng vi khuẩn có liên quan đến bệnh ung thư.
Theo vietnamplus.vn
Tin cùng chuyên mục
- Khắc phục sự cố không đăng nhập được VNeID trên thiết bị mới 01.04.2025 | 11:10 AM
- Toàn văn: Nghị quyết số 57-NQ/TW về đột phá phát triển khoa học, công nghệ, đổi mới sáng tạo và chuyển đổi số quốc gia 13.01.2025 | 10:08 AM
- Quyết tâm chuyển đổi số sâu rộng, toàn diện, thực chất, hiệu quả 17.10.2024 | 15:31 PM
- Sóng nhiệt kỷ lục ở Nam cực đe dọa tương lai Trái đất 06.08.2024 | 09:46 AM
- 201 thí sinh tham gia Hội thi tin học trẻ tỉnh Thái Bình năm 2024 10.06.2024 | 19:17 PM
- Tổng kết và trao giải hội thi, cuộc thi sáng tạo khoa học năm 2022 - 2023 18.12.2023 | 16:35 PM
- Hội thảo khoa học về vai trò của khoa học và công nghệ trong việc sản xuất, tiêu thụ và phát triển sản phẩm nông nghiệp 16.12.2023 | 14:38 PM
- Hội nghị khoa học về chẩn đoán và điều trị bệnh lý tim mạch 28.10.2023 | 12:02 PM
- Ứng dụng công nghệ sinh học trong sản xuất nước mắm 15.02.2023 | 18:51 PM
- Tàu container lớn nhất thế giới 13.02.2023 | 08:42 AM
Xem tin theo ngày
-
Đặc sắc chương trình nghệ thuật kỷ niệm 110 năm ngày sinh Tổng Bí thư Nguyễn Văn Linh và chào mừng hợp nhất tỉnh Hưng Yên và tỉnh Thái Bình
- Chủ tịch Ủy ban Trung ương MTTQ Việt Nam Đỗ Văn Chiến thăm làm việc tại phường Phố Hiến
- Công bố nghị quyết, quyết định của Trung ương, địa phương về sáp nhập đơn vị hành chính cấp tỉnh, cấp xã và kết thúc hoạt động cấp huyện
- Báo Thái Bình - Một hành trình với những mốc son lịch sử
- Thư tòa soạn
- Công bố quyết định của Bộ trưởng Bộ Công an, Giám đốc Công an tỉnh về công tác tổ chức, cán bộ
- Khởi công dự án nhà máy đốt chất thải rắn phát điện công nghệ hiện đại tại xã Thụy Trình
- Khởi công dự án đầu tư xây dựng sân golf Cồn Vành và dự án đầu tư xây dựng khu bến cảng hàng lỏng Ba Lạt
- Việt Nam nâng tầm vị thế tại Hội nghị quốc tế về biển và đại dương
- Hội thảo khoa học: Đồng chí Nguyễn Văn Linh – Nhà lãnh đạo kiên định, sáng tạo của Đảng và cách mạng Việt Nam