Nâng cao nhận thức về tác hại của thuốc lá cho nhóm người lao động tự do
Hầu hết, mỗi chúng ta đều đã từng nghe về tác hại của thuốc lá đối với sức khỏe, tuy nhiên không phải ai cũng nêu cao ý thức tự giác để tránh xa khói thuốc; thậm chí nhiều người còn thờ ơ, chủ quan trước việc sử dụng thuốc lá quá nhiều. Ở nước ta nói chung và tại tỉnh Thái Bình nói riêng, những người lao động tự do thuộc nhóm đối tượng sử dụng thuốc lá có tỷ lệ cao, vì vậy việc tuyên truyền, nâng cao nhận thức về tác hại của thuốc lá cho nhóm đối tượng...
3 năm trước 2,957 lượt xem
Để người có nguy cơ nhiễm HIV không còn “ngại” xét nghiệm
Sau gần 8 tháng triển khai chương trình tự xét nghiệm HIV thông qua hình thức cung cấp kit test trực tuyến, nhiều người có nguy cơ nhiễm HIV đã được tiếp cận xét nghiệm HIV miễn phí. Việc triển khai...
3 năm trước 3,070 lượt xem
Tiếp tục giám sát các trường hợp mắc bệnh viêm đường hô hấp cấp tại Trường Mầm non xã Nam Hà
Theo báo cáo của Trung tâm Kiểm soát bệnh tật tỉnh, Trường Mầm non xã Nam Hà (Tiền Hải) có 12 lớp với 351 trẻ và 29 giáo viên. Từ ngày 24/10 – 8/11, nhà trường ghi nhận nhiều trường hợp có các biểu hiện:...
3 năm trước 1,513 lượt xem
Cục Y tế dự phòng cảnh báo thận trọng với bệnh Whitmore
Bộ Y tế cảnh báo, thời gian gần đây, tại một số địa phương có ghi nhận rải rác các trường hợp mắc bệnh Whitmore và dự báo sẽ tiếp tục ghi nhận thêm các trường hợp mắc trong thời gian tới ở nhiều địa...
3 năm trước 1,940 lượt xem
Ngày 11/11, thêm 630 ca mắc COVID-19 mới
Theo Bản tin Bộ Y tế về tình hình chống dịch COVID-19, ngày 11/11, ghi nhận 630 ca mắc COVID-19 mới.
3 năm trước
2,585 lượt xem
Tiêm vắc-xin là giải pháp hữu hiệu giảm bệnh nặng và tử vong do Covid-19
Đại dịch Covid-19 được dự báo vẫn diễn biến phức tạp, chưa ổn định và khó dự đoán khi các biến thể mới liên tiếp xuất hiện hoặc tiến hóa tại nhiều quốc...
3 năm trước
3,099 lượt xem
Ngày 10/11: Thêm 416 ca mắc COVID-19 mới
Theo Bản tin Bộ Y tế về tình hình chống dịch COVID-19, ngày 10/11, ghi nhận 416 ca mắc COVID-19 mới
3 năm trước
2,180 lượt xem
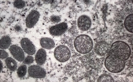
Đậu mùa khỉ được xếp vào bệnh truyền nhiễm nhóm B
Đây là nhóm bệnh truyền nhiễm nguy hiểm có khả năng lây truyền nhanh và có thể gây tử vong.
3 năm trước
2,454 lượt xem
Triển khai tiêm vắc-xin phòng Covid-19 đợt 56 cho trẻ từ 5 đến dưới 12 tuổi
Sau khi tiếp nhận vắc-xin từ Trung tâm Kiểm soát bệnh tật tỉnh, ngày 10/11, nhiều địa phương trong tỉnh đã tổ chức tiêm vắc-xin mũi 1, mũi 2 cho trẻ từ 5...
3 năm trước
2,332 lượt xem
Thái Thụy: Bảo đảm an toàn thực phẩm dịp cuối năm
Để bảo đảm an toàn thực phẩm (ATTP) trong thời điểm cuối năm, nhất là dịp tết Nguyên đán Quý Mão 2023, các ngành chức năng và địa phương trong huyện Thái...
3 năm trước
2,278 lượt xem
Ngày 9/11, thêm 468 ca mắc COVID-19 mới
Theo Bản tin Bộ Y tế về tình hình chống dịch COVID-19, ngày 9/11, ghi nhận 468 ca mắc COVID-19 mới; có 307 bệnh nhân được công bố khỏi bệnh.
3 năm trước
1,897 lượt xem
